不开胸换心门、危难老人获新生——一附院成功开展心血管领域顶尖手术:经导管主动脉瓣置换术(TAVR)
近日,一附院心血管内科二区何贵新教授团队成功为二名饱受心衰困扰的高龄老人实施经导管主动脉瓣置换术(TAVR),手术邀请广东省心血管病研究所罗建方教授团队到院指导,一附院领导表示热烈欢迎。该手术的成功开展,为更多存在禁忌、高危外科手术风险的主动脉瓣狭窄病变患者带来新希望,开启了一附院心内科结构性心脏瓣膜病介入治疗的新时代,提升一附院处理复杂疑难心血管疾病的能力。一附院成为广西首家开展TAVR的中医医院,也是广西为数不多能开展此技术医院,为区内更多患者提供高精尖的心脏介入治疗。
一附院心血管内科二区主任、TAVR技术团队负责人何贵新教授介绍,本次治疗的2位患者病情非常重。85岁韦奶奶,因活动后气促、胸闷、憋气到我院治疗,心脏彩超显示主动脉瓣重度狭窄,瓣口面积0.91cm²,既往曾多次在外院药物治疗效果欠佳,气喘反复发作,严重影响生活质量。70岁谢爷爷,因胸闷、动则气喘到一附院就诊,心脏彩超提示主动脉瓣重度狭窄,瓣口面积仅有0.3cm²。正常主动脉瓣口3-4cm²,这2位高龄患者的瓣口极重度狭窄,随时会出现胸闷、呼吸困难、晕厥等症状,猝死率极高,出现心力衰竭症状后,2年内死亡率达到50%,严重威胁着病人的生命。既往多采取外科手术治疗,但面对这样2位高龄、合并冠心病、房颤等多种疾病的患者,外科手术风险极高,存在着禁忌症。但是,高精尖技术经导管主动脉瓣置换术(TAVR)术可以不开胸、置入新瓣膜,给患者带来新的希望。
何贵新将情况向院领导汇报,一附院对勇于治疗疑难危重心血管疾病、运用新技术TAVR技术给病人带来新生,表示了强烈支持。医务科组织了院内多学科会诊(MDT),何贵新TAVR团队及胸心血管外科、麻醉科、导管室、放射科、超声科等科室经过充分的病情分析和讨论,对手术方案进行了反复的讨论,对可能出现的各种情况准备了完善的应急预案。专家团队经讨论后一致认为该患者有手术适应症、无禁忌症,不适合开胸换瓣手术,患者及家属理解并同意介入手术。

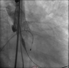
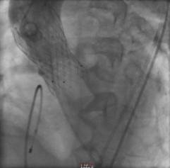
经过周密的筹备,3月5日上午,何贵新主任团队在广东省心血管病研究所罗建方教授团队的指导下,“临时起搏器植入、鞘管植入、跨瓣、球囊扩张、精准定位、瓣膜释放.......”,历经1小时余,顺利为韦奶奶行经导管主动脉瓣置换术(TAVR),置入新的主动脉瓣,打开心脏血液流出的第一道门,手术创口仅针眼大小。术后,复查超声心动图提示人工主动脉瓣膜工作良好,心脏血液泵出顺畅,术前跨瓣压差62 mmHg术后降至差2mmHg,手术非常成功,术后第2天即可下床活动。


另外一例患者谢爷爷面对一场惊心动魄的“生死战”。首先,在球囊抵达主动脉瓣口,刚准备扩开为瓣膜植入创造条件时,瞬间出现室颤,心跳骤停。“快,除颤、心肺复苏!”团队医护人员迅速抢救,同时另一组人将瓣膜送入心脏,跨瓣压差由术前127mmHg降至术后3mmHg。术后送入ICU治疗,第3天,谢爷爷病情稳定,即可下床活动。



术后,何贵新主任TAVR团队给韦奶奶、谢爷爷加强系统的中西医结合康复治疗及中药治疗后,2位患者原胸闷、气紧等症状消失,活动自如,心功能恢复正常,生活及生命质量得到极大改善,疗效非常满意,于3月18日顺利出院。手术的成功开展与医院领导的大力支持、多学科团队的紧密协作是密不可分的,彰显了一附院处理心血管急危重症疾病的综合能力达到国内先进水平。挑战与机遇并存,一附院TAVR团队致力于把TAVR打造成新的标志性的优势技术,继续为广大心脏疾病患者带来优质、高效服务,为百姓健康保驾护航。

TAVR小科普:
随着人口老龄化,因为高龄而出现心脏瓣膜退行性病变的情况在不断增多,需要进行瓣膜置换的群体日渐庞大,这部分患者更不能耐受开胸手术。经导管主动脉瓣置换术(TAVR)颠覆了传统的主动脉瓣置换方式和路径,不用开胸,仅需穿刺血管即可完成主动脉瓣膜置换,创伤小、恢复快,TAVR手术已经成为目前高龄主动脉瓣狭窄的常规治疗手段。


据悉,目前全球已有多个国家成功开展了TAVR手术,但多数为欧美发达国家。全球目前每年完成TAVR数万例,并且每年以超过20%的速度增长,在美国和德国,每年完成的TAVR手术量甚至已经超过传统外科手术。此项技术的开展需要较高的技术门槛,并要有多学科的协作,所以在中国只有少数心脏中心可以开展。

单点登录
账号密码登录