双镜联合活捉肝吸虫,再吃鱼生wéi~

鸡皮疙瘩掉一地没?
这只生猛的虫子,
就是传说中的肝吸虫!!
试想一下,
求生欲如此强的“丑八怪”,
在你的胆管里死命折腾,
那不得疼得满地打滚吗?
有人说,一只还好吧?
朋友,
作为一种雌雄同体生物,
肝吸虫怎么会独自战斗呢?
通常发现时,
它们都是以“一盘”的状态存在。
男子因腹痛、呕吐,急诊入院
这不,前不久,广西国际壮医医院肝胆外科韦邦宁团队就收治了这么一位病人——因上腹部剧烈疼痛,并伴有恶心、呕吐等症状,急诊入院。
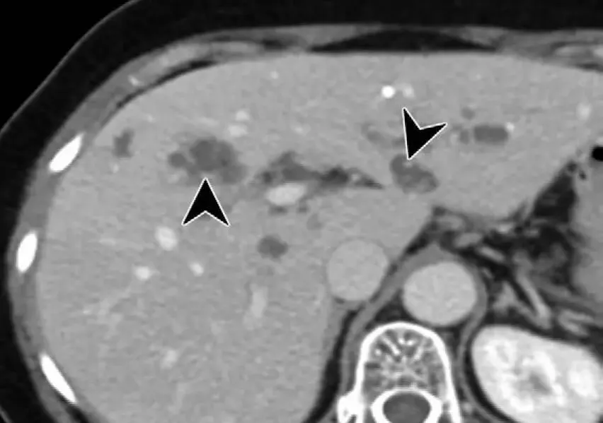
行CT检查提示,胆总管结石伴肝内外胆管扩张;肝内末梢胆管扩张,肝内胆管絮状影,考虑为肝吸虫感染;胆囊结石。

CT检查提示,患者肝内胆管絮状影,考虑为肝吸虫感染
是肝吸虫感染导致的系列症状吗?再追问病史,患者自述,平时特别喜食自制鱼生,不仅频繁吃,而且长期吃。此时,韦邦宁心里基本有了判断:综合考虑患者胆道内结石可能与肝吸虫有关,进而引发剧烈腹痛症状。
双镜联合 手术台上活捉肝吸虫
经过充分的术前评估与准备,韦邦宁团队决定使用双镜(腹腔镜、胆道镜)联合的方式,为患者实施微创手术,力求将手术创伤降至最低。
入院次日,历时2小时,手术顺利实施。术中,利用双镜联合,韦邦宁及其团队不仅将结石全数清除,同时,清除了大量的肝吸虫卵、活捉出大量活体肝吸虫,术前肝吸虫感染导致系列症状的判断“实锤”。
术后,经驱虫治疗,未能在术中清除完毕的肝吸虫,从留置在患者体内、直接与肝总管相通的T型引流管中排了出来。瓜子大小的肝吸虫大部分为死体,看得人触目惊心,患者直呼:“以后再也不敢乱吃鱼生了!”
看到这里,脑海中是不是浮现出很多问号?怎么才能知道体内有没有肝吸虫?如果有会造成什么样的后果?白酒真的杀不死肝吸虫吗?肝吸虫吃不吃脂肪?能不能缓解脂肪肝……以下权威解答,建议您逐字读完。
1.肝吸虫是怎么进入肝胆管内的?
肝吸虫的成虫寄生于人的肝胆管内,吸食胆管粘膜,并产生大量的虫卵,虫卵随胆汁进入消化道混于粪便排出。粪便污染水源后,虫卵进入水中,它们挑选的第一任“房东”是淡水螺,被淡水螺蛳吞食后,在螺蛳的消化道内孵出发育为尾蚴。这时候,螺蛳“小房子”就不够住了,于是尾蚴们再次搬家,它们挑选的第二任“房东”是脘鱼之类的淡水鱼和淡水虾,尾蚴会侵入鱼虾体内的肌肉组织,发育成为囊蚴。它们居住在鱼虾肌肉中一个个小小的囊泡中做“黄粱美梦”,它们最大的“梦想”就是总有一天会被贪吃的人来吞食,进而搬到环境优雅、美食多多的“别墅”里面居住。含有囊蚴的鱼虾被人生吞食后,在消化液的刺激作用下,于十二指肠内破囊而出。他们成群结队地循胆汁逆流而行,或穿过肠壁经血运到达肝内胆管,来到他们最终的目的地——人类的胆管。

2.肝吸虫是怎么繁殖的?
由于它们雌雄同体,有一整套无比发达的雌雄生殖系统,在成虫20~30年的寿命中,可产受精卵无数,成虫吸食胆管粘膜,虫卵随胆汁进入消化道混于粪便排出。
3.肝吸虫会让肝脏承受什么样的后果?
(1)引发胆管炎;
(2)引发胆道结石形成;
(3)引发胆道感染;
(4)引发胰腺炎;
(5)引发肿瘤性疾病.
4.怎么知道自己有没有肝吸虫?
(1)粪检找到华支睾吸虫卵是确诊的根据,一般在感染后1 个月可在大便中发现虫卵;
(2)肝吸虫抗体检查为阳性;
(3)B超、CT检查提示寄生虫感染可能。
再次强调,定期体检很重要!很重要!很重要!
5.肝吸虫能彻底消灭吗?
肝吸虫病患者急性期得到及时诊断和治疗,可较快痊愈。
慢性期患者,特别是肝吸虫病寄生时间较长,对人体肝脏和胆道造成严重危害,如出现癌症,除进行驱虫治疗外,还需进行抗肿瘤治疗。此种情况下,治疗较为困难,一般慢性期治疗时间长于急性期治疗。
除进行药物驱虫治疗外,由于肝吸虫寄生于胆道,可并发细菌感染,如出现急性胆囊炎和胆管炎,需合并使用抗菌素药物共同治疗,减少或降低肝吸虫对人体危害。

6.喝酒能杀死肝吸虫吗?
不少爱吃鱼生的朋友认为吃鱼生时只要配上高度的白酒或蘸调料,既杀虫又消菌,但实验结果却并非如此,几组实验的囊蚴都还存活。
经常吃淡水鱼生的人一定要进行检查和杀虫,只需将粪便送检,发现有肝吸虫虫卵就能确诊,也可通过B超、CT等作为辅助检查。确诊已感染肝吸虫病后需马上治疗。
此外,不仅淡水鱼不能生吃,曾经在淡水、半咸水里生活过的海鱼也不能生吃。通常只有完全在海里生活的海鱼才有可能可生吃。
最后提醒大家,淡水鱼最好不生吃,杀死肝吸虫囊蚴最好的办法是高温,超过90度只需要几秒钟肝吸虫就能被杀死,所以只有吃熟鱼才安全。
7.肝吸虫会吸食脂肪吗?能不能缓解脂肪肝?
肝吸虫在肝胆管内主要以吸食胆管粘膜为生。有专家认为,肝吸虫不仅不能缓解脂肪肝,甚至会因为损伤肝脏,加重肝脏负担,导致肝脏对脂肪的代谢下降,从而加重脂肪肝。


单点登录
账号密码登录