用“第三只眼”,解决了两个拳头大小的“瘤子”,而且无出血……
手术按级别分为四级,其中四级手术技术难度最大、手术过程最复杂、风险度最高。能否拿下四级手术,是评判一个手术团队实力的重要指标。
近日,广西国际壮医医院脾胃肝病科便碰上了一台四级手术,且该手术必须使用一种专科内最高端的内镜技术......
腹痛、呕吐 竟是因为肚子里长了个“大瘤子”
谭女士今年66岁,10月下旬,她再次因腹痛、呕吐、没有食欲等症状前来广西国际壮医医院脾胃肝病科就诊。
5月上旬,谭女士曾因重症急性胰腺炎和静脉血栓两项致命疾病来院治疗,时隔5月再次入院,“元凶”仍与胰腺炎有关——胰腺炎并发症胰腺假性囊肿。脾胃肝病科主任唐国都解释,该囊肿由血液、胰液外渗及胰腺自身消化导致局部组织中不能吸收的坏死物、崩解物聚积形成,增大后会压迫胃部,导致腹痛、呕吐等症状。之所以称之为假性,是因为与真正意义的囊肿构成物不同。
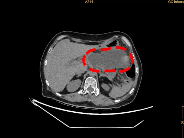
经CT检查发现,谭女士的囊肿已增大至154×90×75mm,大约为一个成年女性的两个拳头大小。唐国都表示,若继续增大,很有可能发生囊肿破裂,进而引发大出血、腹腔感染等危险状况。

谭女士体内一巨大的胰腺假性囊肿(红色部分)
熟练运用“第三只眼” 成功引流囊内积液
这可怎么办?动手术切除囊肿?
“开腹手术是个办法,但现在我们有更好的选择。”唐国都表示,运用消化内镜技术,行超声内镜引导下的穿刺引流术,将囊肿内的积液引流至胃部,再经消化系统排出体外,囊肿便会缩小恢复正常。
该手术的优点在于创口小、恢复快。难点在于,如何避开胃壁血管实施精准穿刺,同时,在穿刺过程中确保囊肿有且只有一个引流创口,以避免囊肿破裂引发的大出血。总而言之,这是一项精细化的操作,施术者需是一个临床经验丰富的“老手”。
超声内镜被誉为医生的“第三只眼”,但从广西的现状来看,对该技术的掌握,游刃有余者屈指可数,唐国都便是其中之一,“手上功夫”在业界有名。
10月29日,经过40分钟的有序操作,唐国都团队为谭女士成功施术,术中无出血状况。

唐国都团队开展消化内镜治疗
疗效突出,患者顺利出院返家
术后首日,谭女士表示腹痛状况改善十分明显,当晚睡了个久违的好觉。
术后两日,CT报告显示,谭女士的胰腺假性囊肿缩小了约1/3,疗效初显。
术后三日,谭女士食欲渐渐恢复,可进食米糊、稀饭、面条等食物,她说:“餐后感觉都很好,胃里没有难受的感觉。”
11月3日,术后第五天,在确认谭女士各项指标合理,没有异常并发症后,脾胃肝病科同意了谭女士的出院要求,并协助她办理了出院手续。

唐国都团队检查谭女士身体状况
出院前,谭女士手写了一封感谢信,感谢唐国都“高质量的专业水平”让自己重拾健康,真诚感谢脾胃肝病科医护人员的悉心照顾,感谢“最可爱的白衣天使”助自己渡过难关。

谭女士的感谢信

单点登录
账号密码登录