中央电视4台报道星空彩票老版本下载附属瑞康医院肿瘤科
巨大肿瘤险遭割臂之痛
中西医合璧瘤除保全手
——中央电视4台报道星空彩票老版本下载附属瑞康医院肿瘤科
11月21日晚,中央电视台四频道《中华医药栏目》播出了瑞康医院成功运用射波刀加中药治疗一例罕见的巨大胸部肿瘤患者,保住了患者的生命及手。全文报道如下:
因手掌大的胸壁肿瘤需割掉一只手才能保住命的中年男子,经星空彩票老版本下载附属瑞康医院运用射波刀及中药治疗,不但消除了巨大肿瘤,而且还保住了患者的手……。
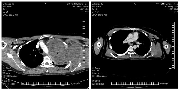
在广州工作的广西隆安人许正团,男,今年40岁,他有一个幸福的小家庭。可是,命运在作弄着他。6年前,他发现左胸肿物1月后入住广州一家肿瘤医院,并于同年11月进行手术切除。当时肿块像鸡蛋大(5×4.5×2立方厘米)。病理检查为良性。许先生本以为手术后就万事大吉了。谁知一年后,他又发现左胸壁肿物又在长,当时他还没未予以重视。随后肿物又逐渐增大,自己已经感觉胀痛了,并感到左上肢不能上抬及后转。08年底肿瘤疯长到20×20平方厘米,像成人手掌这么大了,这时肿瘤已经把左肺都挤扁了,连喘气都感到困难。这时徐先生又回到原来手术的医院就诊。经过CT片检查,专家无奈地说:这种病要彻底治疗只能把左手及胳膊全切掉才能保住命。专家还说:其实能帮你提出这个方案的已经很大胆了,没有医生愿意牺牲这么大的一个创伤,而且也不能确保肿瘤不复发。许先生一听都吓懵了。他想:这样我就成了个残疾人了吗?太可怕了……。许先生说:“确实那时候,我很难面对,心里也很绝望。但是我就想,想尽所有的办法,再多去几家医院看看。随后我又去了上海找了最权威的肿瘤医院和专家,得到的答复基本上是一致的。实际上我从上海回来的时候,已经感到没有别的选择,准备做出最痛苦的决定:割掉我的左臂和手了。”
2009年初,许正团也准备回广西老家过春节,节后在广州做手术。就在他带着老婆和孩子回家期间,一次偶然的朋友聚会,给他带来了人生的重大转折。当朋友们得知他的病情时,一位朋友就提起星空彩票老版本下载附属瑞康医院最近从美国引进了一台目前最先进的肿瘤放射治疗设备——射波刀(不需开刀可将肿瘤消除)。目前西南地区仅有一台,不妨可以试一试。
09年2月初,许正团就抱着试试看的想法来到了广西瑞康医院。该院肿瘤一区主任练祖平教授和白广德教授看了患者带来的病历资料,他们认为,巨大肿瘤可采用射波刀放射治疗和氩氦刀冰冻治疗。先将巨大肿瘤逐渐杀灭后,遗留下来的肿瘤坏死组织再通过中药在体内慢慢吸收,同时运用中医特色防止肿瘤的复发。专家们提出了这个全新的治疗方案。许先生感到很震惊。此时他感到自己有救了……。他决定试一试。这时,许先生住进了瑞康医院,开始长达两个月的治疗。因患者胸部的肿瘤太大了,医生决定采用射波刀立体定向放疗联合氩氦刀微创冷冻治疗:位于左锁骨以下向左侧胸壁、胸腔侵犯的肿瘤,用氩氦刀冷冻治疗;位于左锁骨以上向左肺尖及左肩、左颈侵犯的肿瘤,用射波刀治疗。经过多次的治疗,终于将巨大肿瘤细胞杀灭了。住院两个月后,许先生在配合健脾益气、益肝补肾的中药内服为主,主要是尽快恢复两刀治疗所致的机体创伤。两刀治疗结束后,中药则以解毒散结、益气通络为治法,目的是消除机体形成肿瘤内环境因素,阻断肿瘤的生长,防治肿瘤的复发,初期尚配合针灸以促进左上肢机体功能恢复。自2009年5月后,患者已经开始回到原工作岗位上班,并坚持在门诊服用上述中药调理。
至今历时2年半时间,经过3次CT和磁共振检查,均提示该肿瘤逐渐缩小,最后一次复查(2011年8月15日CT)见肿瘤已经缩小至5cm×3cm,仍为坏死组织,左肺已经完全复张,左上肢功能已经完全恢复,没有发现新病灶。
今年8月,许先生带着全家回到瑞康医院接受中央电视台的采访。他高兴地说:我的手又捡回来了,中西医结合治疗太神奇了!”



中央电视台四频道报道画面

治疗前、后CT片(前图右侧为肿瘤)

单点登录
账号密码登录