一附院外六科成功为一患者切除矢状窦傍巨大脑膜瘤
星空彩票老版本下载第一附属医院手术室的大门缓缓打开,外六科张高炼主任医师拿着手术切下来的脑肿瘤对一病人的女儿说:“小罗,您爸爸的巨大脑肿瘤已完全切除,手术很顺利”。此情此景,患者的女儿眼泪夺眶而出,激动地说:“张主任,谢谢你们!非常感谢……”。
原来,一附院外六科为一患者罗某成功切除了其颅内的矢状窦傍巨大脑膜瘤。事情的缘由,还得从患者的病情说起。
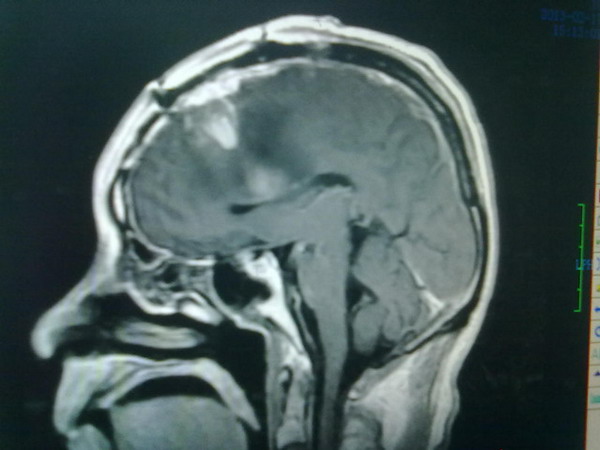
患者罗某,男,57岁。因“右侧肢体无力3年,行走不能并言语错乱1个月”于2013年1月29日由骨关节创伤科转入外六科。患者于3年前始,不明原因下出现右侧肢体无力,逐渐加重,一个多月前因肢体乏力摔倒致“右股骨粗隆间粉碎性骨折,右股骨头缺血性坏死,并右髋关节脱位”收入创伤骨科。入院后为查明肢体乏力及言语错乱原因,行头颅磁共振检查示:左侧额颞顶区矢状窦傍巨大脑膜瘤。经会诊后转入外六科。转入时检查见患者神志模糊,言语错乱,答非所问,记忆力及定向力差,体格极度消瘦;右侧肢体肌力差,右髋部压痛,右髋关节活动受限,右下肢肌萎缩,病理征阳性。
经该科术前讨论和分析,患者诊断明确,左侧额颞顶区矢状窦傍巨大脑膜瘤是引起患者右侧肢体无力并摔倒骨折的原因,而且肿瘤巨大,左大脑半球被严重挤压,周围水肿明显,随时引起脑疝死亡,应先行脑部肿瘤手术挽救患者生命,再治疗骨折。但肿瘤巨大,约8cm×6cm×6cm,几乎占左侧大脑半球的一半,且血供异常丰富。而且患者由于长期大量饮酒,存在肝功能不同程度损害,营养较差、体格消瘦,手术耐受力欠佳,若术中如出现大出血,有可能危及生命。因此,以张高炼为主刀的手术组医师制定出最佳的手术治疗方案,术前作了充分准备。
2013年2月5日上午8时,患者缓缓推进了手术室,麻醉、定位、消毒等各项手术步骤有序展开,10时手术正式开始,打开颅骨后,发现硬脑膜大片受肿瘤侵犯,而且跟矢状窦粘连紧密,脑压高,手术难度较大。手术医师沉着冷静,操作熟练,小心轻柔地沿着矢状窦侧分离肿瘤蒂部,阻断各条肿瘤供血动脉,分块切除肿瘤,经过近两个小时的精细操作,完整地全部切除肿瘤,并确保了矢状窦完好无损,脑副损伤降到最低限度,手术岀血少,量约300ml,不仅有利于患者术后康复,避免复发,也大大减少住院费用,减轻患者经济负担。
患者经过术后2周恢复,右侧肢体肌力恢复正常,无错乱言语,记忆力及定向力恢复正常,伤口愈合好并拆线,计划近日转骨科治疗骨折。

术前影像学改变

术后复查

患者术后两周恢复

单点登录
账号密码登录