患癌10年,生存期仅剩3个月,残酷局面还有望扭转吗?
“药到病除”是每一位患者就医时的愿望,但有时遇到的却是“无药可医”的状况,这在面对癌症时尤为常见。何女士便是这样一位“病入膏肓”的癌症患者,十年间对疾病一直“放任自流”,直到不得已才选择住院治疗。
腹痛腹胀就诊,一查满腹肿瘤
2022年末,51岁的肾癌患者何女士因“腹胀、腹痛、体力低下、双下肢水肿”来到广西国际壮医医院肿瘤科就诊。受疾病影响,她卧床已有数月,身形消瘦,生活无法自理,更别提外出工作。
经身体检查和询问病史,肿瘤科副主任医师黄广优很快发现,何女士腹胀程度极其严重,且存在肾癌病史。更令人费解的是,她患癌已有10年,仅在疾病查出时行手术治疗,此后再未接受过规范化治疗。
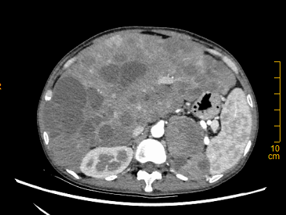
随后的腹部MRI显示,患者腹内存在大面积肿瘤。黄广优介绍,肿瘤面积极大,已侵犯腹内多个器官,造成了严重器官功能损害,因此,何女士出现了腹痛、体力下降、双下肢水肿等症状。“再不治,很可能活不过三个月。”黄广优说。

MRI显示,患者腹内存在大面积肿瘤
科学治疗,逆转危局
三个月的生存期,肿瘤科能扭转这残酷的局面吗?
“十年间,专科发展非常迅速,我们也有了更多的治疗方案。”黄广优解释,目前“分子靶向治疗+免疫治疗”已成为癌症的主要治疗方案之一,此方案可针对恶性肿瘤发生、发展的关键靶点进行干预治疗,并让药物协同机体免疫系统精确、高效地杀伤肿瘤细胞,因此疗效较为突出,患者毒副反应较轻,耐受性较好。此外,发挥中医药、民族医药在治疗癌症方面的特色优势,中西医结合,收效更优。
疗效也验证了医学的发展成果——接受规范化治疗3个月后,何女士腹胀、腹痛、体力低下、双下肢水肿等症状改善明显;5个月后,CT检查显示,肿瘤“强化程度较前减低,无强化区较前增大”,腹部从外部观察已与常人无异。
目前,何女士仍在定期返院积极治疗,生活已与常人无差,也已回归工作岗位。

治疗5个月后,CT结果肿瘤“强化程度较前减低,无强化区较前增大”
相信科学,抗癌路上永不放弃
黄广优表示,十年前专科对于肿瘤的治疗主要为手术、放疗、化疗等,这些手段对早期肿瘤有着很好的疗效,但对于已经发生转移的晚期肿瘤则疗效有限,这让很多像何女士一样的癌症患者选择了放弃治疗。
然而,时代滚滚向前,医学技术日新月异,分子靶向治疗、免疫治疗的到来,让肿瘤专科进入到了精确治疗的时代,在提高早期肿瘤成功率的同时,极大延长了晚期肿瘤患者的生存期。因此,他建议广大肿瘤患者,“抗癌之路”上要相信科学、永不放弃,积极配合专科医生实施治疗,“绝不能因一时的挫折放弃治疗,导致病情陷入无法挽回的境地。”

单点登录
账号密码登录