-
为进一步传播名中医学术思想,探索建立中医药学术传承和推广应用的有效方法和创新模式,促进高水平医疗专家团队下沉基层, 8月29日,以一附院孙平良教授肛肠专家团队为依托的“孙平良博士工作站”正式落户宾阳县中医医院。 一附院孙平良教授及专家团队成员:黄深副主任医师、蔡亮亮副主任医师、冯福明副主任医师、黄艳副主任医师、韦爱萍护士长等十余人与宾阳县卫生健康局谢卓念副局长、宾阳县中医医院领导班子及职工代表共同参...09.012023
-
8月29日下午,一附院在住院综合大楼5楼多功能厅召开2023年上半年安全生产工作总结暨第三季度工作布置会议。一附院党委书记桂雄斌、院长谢胜、党委副书记、副院长钟远鸣、纪委书记周广林、副院长卢健棋、黄仲海、张高炼、总会计师苏泽凤及全体中层干部参加了会议。 桂雄斌强调,要进一步树牢“两个至上”理念,坚决拥护“两个确立”、坚决做到“两个维护”,时刻绷紧安全生产这根弦,持续巩固提升安全防线,坚决防范遏制各类安全...09.012023
-
8月28日下午,一附院仙葫院区党总支第三党支部、第六党支部在仙葫普外科医生办公室联合开展主题党日活动。本次活动主要围绕以下两个主题:一是集中学习第一议题;二是党建引领下中西医结合加速康复外科在普外科疾病围手术期应用探讨及普外科、康复医学科多学科联合诊疗合作协议签署。 支部在孙平良书记带领下首先学习了第一议题;接着在两支部党员及双方科室成员的见证下,双方科室签署了普外科、康复医学科多学科联合诊疗合作...08.312023
-
广西国际壮医医院2023年8月21日挂网《广西国际壮医医院2023年第二批公开招聘聘用人员控制数工作人员公告》报名工作已结束,其中眼科临床医疗岗位1、神经外科临床医疗岗位、心胸血管外科临床医疗岗位、病理科临床医疗岗位2等4个岗位无人报名,部分岗位报名人数不足,达不到1:3的开考比例(详见附件)。经研究并报星空彩票老版本下载核准,同意广西国际壮医医院取消以上4个岗位的招聘计划并调整报名人数不足岗位开考比例。 附件:附件...08.312023
-
为强化基层党组织共建合力,以党建共建引领业务发展,进一步提升医疗服务能力,8月24日,附属国际壮医医院内科第一党支部联合医技第一党支部开展“交流推进业务融合,共建促高质量发展”主题党日活动。 政治理论学习环节,医技第一党支部副书记马振领学习近平总书记对党的建设和组织工作的重要指示以及习近平总书记关于主题教育的系列重要讲话和指示批示精神,党员们认真聆听并作笔记,加强学习领会。 学术讲座环节,内科...08.312023
-
8月29日下午,附属国际壮医医院召开清廉医院建设推进会暨医药领域腐败问题集中整治工作会。星空彩票老版本下载副校长、医院院长岳桂华主持会议,医院党委书记秦祖杰传达相关会议精神并作工作部署。 秦祖杰传达全国医药领域腐败问题集中整治工作视频会议、自治区纪委监委部署全区纪检监察机关配合开展医药领域腐败问题集中整治动员部署视频会议等相关会议精神,对医院“清廉医院”建设下一步工作进行部署。 秦祖杰强调,一要提...08.312023
-
8月28日,一附院仙葫党总支第十三党支部开展以“内化于心,外化于行——立足岗位 学深悟透 实干笃行 务求实效”的主题党日活动。 会上,支部书记江现强进行“第一议题”领学。旨在学深悟透主题教育的根本目标和要求,坚持学思用贯通,知信行统一,做到“努力在以学铸魂、以学增智、以学正风、以学促干方面取得实实在在的成效”。会上,支部党员纷纷表示“学而不思则罔,思而不学则殆”,要学在深处,谋在难处,干到实处。聚焦支...08.302023
-
8月29日下午,自治区发展和改革委社会处副处长梁焯、自治区卫生健康委项目资金监管中心副主任(主持工作)梁宇晖带领相关负责同志一行来到附属瑞康医院凤岭南医院建设项目工地调研指导。医院院长唐友明,副院长、总会计师庞刚带领相关部门负责人、项目施工方、设计方、监理方等陪同调研并座谈。 在详细了解项目建设规模、设计规划、建设工期,以及听取唐友明院长、施工项目部、设计单位、监理单位相关负责人的介绍后,梁焯、梁...08.302023
-
8月29日上午,百年乐制药有限公司党委在公司科研办公楼六楼会议室召开党委理论学习中心组学习会。会议就学习领会《习近平关于党的建设的重要思想》《习近平总书记关于以学铸魂、以学增智、以学正风、以学促干的重要论述》等内容开展专题学习。公司党委委员、理论学习中心组全体成员、各党支部书记参加了会议。会议由党委书记何天富主持。 何天富在总结讲话中指出,通过学习我们深刻感受到习近平总书记新时代中国特色社会主义思...08.302023
-
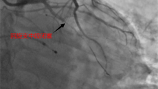
急性心肌梗死是心血管急危重症,一旦发生,患者心脏随时可能停跳。此时,时间就是心肌,时间就是生命,能否在2~3小时内及时开通被堵塞血管,对病情至关重要。 近日,广西国际壮医医院心病科便成功抢救了一名急性心肌梗死患者。心病科主任徐先增表示,抢救成功的关键不仅在于抢救本身,更在于“双绕行”(绕行急诊抢救室、绕行心病科监护病房)急救流程的正确实施。 65岁患者突发胸痛,国壮医生迅速诊断 一个多星期前,65岁的杨...08.302023

单点登录
账号密码登录