-
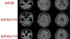
2021年初,家住南宁的陈老伯突然出现剧烈头痛,并伴有脑部昏沉感、行走不稳,起初陈老伯不以为意,认为是自己没休息好或受凉引起,可出乎他意料的是,头痛的症状竟一天比一天严重。1月9日,陈老伯终于无法忍受剧烈的痛楚,家人赶紧将他送至家附近的医院,经头颅CT检查,提示脑内多发囊实性病变,性质暂时不明,于是给他开了几天的对症口服药物,可陈老伯服药后头痛症状非但没有缓解,还出现了恶心、呕吐等症状。医院在给陈老伯...01.112022
-
为广泛听取群众意见,提高医疗服务质量,推动医院更好发展,1月7日下午,附属瑞康医院在中心会议室召开2021年度社会监督员座谈会,来自星空彩票老版本下载、广西大学、南宁市华强小学、南宁铁路局以及医院退休干部职工等8名本届社会监督员参加了座谈。医院院长唐友明、副院长韦思尊及相关职能科室负责人参加会议。 唐友明首先对社会监督员们的到来表示热烈欢迎,并从医院发展、疫情防控、社会责任等方面向社会监督员介绍了医院2021...01.082022
-
1月6日,新年伊始,一附院“轮值村医”团队专家如约而至,继续走进一附院定点帮扶村隆安县南圩镇联伍村,为当地村民送上优质中医服务,让当地的老乡足不出村就能得到省级中医医院专家近距离的健康指导与问诊治疗。 活动当天,一附院第六十批“轮值村医”专家脑病科一区蔡伦主任医师、脾胃病科一区王伟副主任医师、肝病科二区李媛副主任医师、仁爱分院针灸科尹梅主治医师,刚到卫生服务中心,就马不停蹄地为前来就诊的村民问诊、...01.082022
-
自荣获2020年度征兵工作先进单位后,广西国际壮医医院又获2021年度征兵工作优秀体检站荣誉。1月7日,2022年良庆区春季征兵工作动员部署暨2021年征兵工作总结表彰会在良庆区人民武装部举行,院长岳桂华、副院长李铭到会接受表彰。 2020年8月,良庆区人民武装部把“良庆区征兵体检站”设在我院健康管理中心。征兵体检站设立以来,在院领导及全院医务人员的努力下,我院高标准完成了1351人次征兵体检任务,送兵246人。除征兵体检外...01.072022
-
1月6日下午,广西国际壮医医院副院长李继清率队到南宁市邕宁区中医医院开展壮医联盟成员单位交流活动,双方就人才培养、学科建设与发展、提升医院综合服务能力等方面进行了交流。双方各临床、医技药科室负责人还结队深入临床一线,进行了实地考察交流。 李继清率队开展交流活动 交流会现场 科室负责人深入临床考察交流01.072022
-
为进一步强化党支部书记作为基层党支部抓党建工作第一责任人职责,推动党支部全面进步、全面过硬,2022年1月6日下午,一附院党委在办公楼六楼行政会议室召开2021年度党总支书记抓党建工作述职评议考核大会。一附院领导桂雄斌、谢胜、吴西西、周广林、毛德文,各党支党员代表出席会议并对总支书记进行考核评议。会议由一附院党委书记桂雄斌主持。 一附院10位党总支书记分别围绕思想政治建设情况、党建工作责任履行情况、党支部建...01.072022
-
1月5日晚,一附院副院长、仙葫院区院长张高炼到仙葫院区第十一党支部,开展党的十九届六中全会精神宣讲。宣讲会由仙葫院区第十一党支部书记蔡凯主持。仙葫院区党总支书记孙平良、仙葫院区第十一党支部全体党员以及肿瘤大科三个病区中层干部参加宣讲会。 张高炼以《扎实学习贯彻十九届六中全会精神》为题,紧紧围绕学习党的十九届六中全会《决议》和习近平总书记重要讲话,用深入浅出的语言和大量事例数据,从党的三个历史决议、...01.072022
-
俗话说窄路难行,有些窄路,尚能将就着走,但这些“路”窄了,您别说领略蜀山锦绣了,就连站起来走两步都难。 今天咱们要讲的这个病例,就和走路有关。这位患者走不了路,不是因为路窄,而是因为腰椎管…… 步行十米,腰腿疼到不行 2021年12月13日,47岁的李女士因“腰痛伴双下肢疼痛麻木”来到附属国际壮医医院疼痛科就诊。 据悉,李女士腰疼已有十几年,且病情逐年加重,近来,双腿也出现疼痛,行走时尤其难受,已经到了“...01.072022
-
2021年12月31日,广西国际壮医医院举办2021年度宣传工作会议,深入学习贯彻习近平新时代中国特色社会主义思想和关于宣传思想工作的重要指示,总结成绩经验,分析研判新形势下医院宣传工作和意识形态领域面临的机遇与挑战,完善工作机制,制定工作计划,同时表彰先进,唱响主旋律,壮大正能量,为医院高质量发展创造良好的舆论氛围。 国壮十大新闻+十大热点推文 参天之木,必有其根;怀山之水,必有其源。从党委书记带头讲党课,...01.072022
-
1月5日下午,赛院在教学楼四楼学术报告厅召开领导班子2021年述职述廉和民主测评大会,星空彩票老版本下载正处级组织员、统战部副部长邬文燕,统战科科长罗金兰到会指导,赛院领导班子李成林、梁天坚、傅鹏、赵斌及全院中层干部和中级职称以上专业技术人员共78人参会。党委书记李成林主持会议。 李成林代表学院领导班子从重点工作任务、目标及完成情况,年度主要工作开展情况,存在不足及下一步工作思路三方面对2021年学院全年工作进...01.062022

单点登录
账号密码登录