-
心脏是人体的发动机,它一刻不停地工作,在连续不断的“鼓动”中将血液运往身体各处,帮助我们维持生命。但你知道么?对于心律不齐患者而言,这份“鼓动”那是力度忽重忽轻,速度忽快忽慢,没有丝毫规律,使他们每日承受难以言喻的痛苦与折磨。 52岁的林女士曾经也是一位心律不齐患者,但现在她的心脏已重新找回了跳动规律,“多亏了国壮心病科给我做了射频消融术!”她说。 射频消融术是个啥?别急,今天我们一起来看看~ 因...01.052022
-
12月23日,附属国际壮医医院副院长李继清带领103人医疗队伍,紧急驰援防城港市疫情防控工作。4天时间,医疗队根据广西防城港市疫情指挥部全员核酸检测队安排,先后前往市内30余个地点设立核酸检测采样点,累计采样2.7万余人次,顺利完成核酸检测采样任务。 12月24日起,医院壮瑶药制剂中心两条汤剂生产线全线启动,中心全员上岗,医院行政、临床、医技药科室工作人员、党员志愿者纷纷抽出时间到场支持。6天时间,共生产中医防疫...01.052022
-
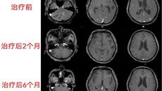
2021年初,家住南宁的陈老伯突然出现剧烈头痛,并伴有脑部昏沉感、行走不稳,起初陈老伯不以为意,认为是自己没休息好或受凉引起,可出乎他意料的是,头痛的症状竟一天比一天严重。1月9日,陈老伯终于无法忍受剧烈的痛楚,家人赶紧将他送至家附近的医院,经头颅CT检查,提示脑内多发囊实性病变,性质暂时不明,于是给他开了几天的对症口服药物,可陈老伯服药后头痛症状非但没有缓解,还出现了恶心、呕吐等症状。医院在给陈老伯...01.042022
-
12月31日,附属国际壮医医院召开2021年度宣传工作会议。本次会议是建院以来召开的首次宣传工作会议。 院党委书记秦祖杰充分肯定了三年来医院宣传工作所取得的成绩,并对做好新形势下医院宣传工作进行了具体部署。他强调,党性原则是党的宣传思想的根本原则,全院宣传工作要以习近平新时代中国特色社会主义思想为指导,坚持党性原则,坚持正确舆论导向;强化阵地意识,坚守意识形态阵地;加强思想引领,促进业务与学科发展;创新...01.032022
-
近日,从自治区总工会传来一条鼓舞人心的喜讯,一附院急诊科荣获2021年度“全区模范职工小家”荣誉称号。 一附院急诊科是国家中医药管理局”十二五”中医急诊学重点学科单位,中国中医急诊专科医联体副主席单位、广西壮族自治区主席单位,广西壮族自治区急诊医学重点专科单位,广西壮族自治区中医急诊质控中心。荣获2017-2018年度“市级青年文明号集体”称号、2020年度“广西工人先锋号”荣誉称号。近年来,在一附院党委行政班...01.032022
-
在2019—2020年度青年文明号创建周期中,一附院急诊科、感染性疾病科、仙葫院区重症医学科、中医治未病中心、仙葫院区急诊科、感染性疾病科发扬“敬业、协作、创优、奉献”的精神,表现突出,根据《自治区卫生健康委 共青团广西区委关于命名广西壮族自治区卫生健康系统2019-2020年度广西青年文明号集体的决定》,被评选为2019-2020年度广西区级青年文明号。 “青年文明号”创建活动是青年文明工程和青年人才工程的重要组成部分...01.032022
-
近日,为深入学习宣传党的十九届六中全会精神,按照医院党委统一部署,附属瑞康医院副院长宋策在A座27楼为所在的机关第七党支部全体党员、预备党员及发展对象宣讲党的十九届六中全会精神。 宋策结合自身学习心得,在宣讲中强调党员同志要深刻领会,学深悟透,切实把支部全体党员的思想和行动统一到全会精神上来,把智慧和力量凝聚到医院发展大局上来。他从三个“需要”、两个“确立”、五大“历史意义”、十个“坚持”、牢...01.022022
-
近日,在自治区党委教育工委公布的学习贯彻习近平总书记“七一”重要讲话精神“党员心声大家谈”暨“四史”学习教育主题征文比赛获奖名单中,赛院共有3篇征文获奖。其中,陈威龙、喻登先的诗歌《七月颂党》荣获二等奖,韦永红的体会文章《感恩中国共产党》、何昭慧的体会文章《感恩党 跟党走 共话民族团结进步》荣获优秀奖。 自党史学习教育启动以来,赛院党委精心部署实施党史学习教育六大内容,抓住“七一”庆祝建党百年大会...01.022022
-
12月30日至31日,自治区教育厅诊改复核专家组一行6人到附设中医学校开展为期2天的2021年度内部质量保证体系诊断与改进(以下简称“诊改”)现场复核工作。 在现场复核见面会上,附设中医学校校长刘竑清对专家组的到来表示热烈欢迎。专家组组长穆家庆介绍专家组成员及此次诊改复核工作的原则和内容。随后,专家组按程序对附设中医学校的诊改工作进行现场复核,听取汇报、查阅资料、座谈、访谈、实地考察,深入了解学校内部质量保...01.022022
-
12月31日,一附院医技药学第六党支部在制剂中心会议室,召集支部全体党员、入党积极分子和群众共31人以上党课的形式,学习贯彻党的十九届六中全会精神。中共十九届六中全会是在中国共产党成立百年的重要历史时刻,在胜利实现第一个百年奋斗目标、全面建成小康社会,正在向着全面建成社会主义现代化强国的第二个百年奋斗目标迈进的重大历史关头召开的重要会议。 会议系统总结了党的十八大以来,党和国家事业取得的历史性成就、发...01.012022

单点登录
账号密码登录